挠痒痒为什么“痛并快乐着”? Science重磅研究: 挠痒加剧皮肤炎症反应, 但能抵抗细菌感染, 背后是两大系统的“合谋”
发布日期:2025-03-06 05:06 点击次数:132
转自:生物谷
“哎呀,太痒了!左边一点……再往右……不对不对,上面一点……哎呀,还是不够过瘾!”——这种熟悉的场景,大家是不是都经历过?挠痒痒的感觉真是让人“欲罢不能”,一旦开始抓,就像陷入了一个无休无止的恶性循环:越挠越痒,越痒越挠,抓到皮破血流都难以停手。而更让人抓狂的是,这看似解痒的行为,往往会导致皮肤红肿发炎,最后不但没有缓解痒感,反而加重了皮肤的损伤,简直是个无底的循环。
但问题来了,抓挠真的只是单纯的“解痒”吗?它对身体到底意味着什么?既然它会加重皮肤炎症炎,那为何我们的身体还要“设定”这种行为?

痒是皮肤发出的求救信号,而挠则是大脑给出的“止痒密码”,这是一种对皮肤瘙痒的本能反应,这种行为是无法抗拒的、典型的,并且具有进化保守性。也就是说,抓挠不仅在人类中普遍存在,许多其他物种也会表现出类似行为。
然而,研究团队发现,挠痒痒不仅仅是为了缓解不适,它竟然是一场神经和免疫细胞之间的“合谋”。
挠痒痒的“爽感陷阱”:
神经和肥大细胞的“危险交易”
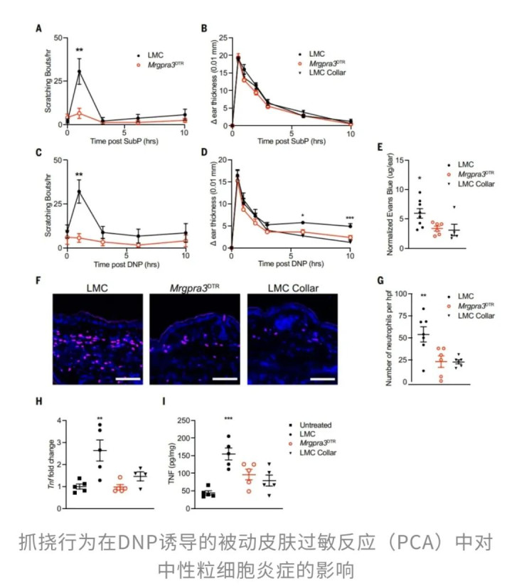
为了弄清楚清楚那些促使我们抓痒的神经元是如何影响瘙痒和炎症反应的,研究人员设计了Mrgpra3DTR小鼠模型。这个小鼠模型有个神奇的能力——可以精确地消除那些负责传递“痒”信号的神经元。换句话说,小鼠的“抓痒”神经元可以被“关闭”,让研究人员能够专心研究这些神经元到底在皮肤痒和炎症反应中发挥了什么样的作用。

这些化学物质就像是过敏的“引子”,能激发小鼠的皮肤产生过敏反应。通过观察这些小鼠接触这些物质后的反应,研究人员可以看到,即便是“痒”信号的传递被“暂停”,这些神经元的消失是否会影响到小鼠的皮肤反应。

可以说,这些神经元就像是“痒信号”的放大器,一旦它们的功能被关闭,痒的感觉就被有效抑制。

挠痒痒背后的免疫和神经“暴动”:
痒感、抓挠和炎症的恶性循环
相信我们都有过这样的经历——皮肤突然发痒,一挠就停不下来,感觉全身的舒爽都集中在那一刹那。大家都知道,抓痒能瞬间缓解痒感,可这个看似简单的动作竟然可能加剧我们皮肤的炎症反应。
在深入探讨挠痒痒如何加剧炎症反应之前,我们先来了解肥大细胞。这些看起来不起眼的免疫细胞,在过敏反应中可是超级“活跃”。当皮肤遇到过敏原时,肥大细胞就像一个警报器,通过FcεRI受体释放出组胺等化学物质,让人产生痒感。简单来说,痒,就是它们在“作祟”。

有意思的是,抓痒行为不仅仅是在“痒”上作文章,还会通过神经系统加剧炎症反应。当我们抓痒的时候,体内的痛觉神经元(特别是那些表达TRPV1受体的神经元)开始活跃起来,释放一种名为P物质(SP)的化学物质。这个P物质就像一个信号,它会启动一连串的免疫反应——直接激活肥大细胞,进一步释放出肿瘤坏死因子(TNF)等炎症因子,加重皮肤的红肿和溃烂,并且通过招募中性粒细胞来加剧瘙痒和炎症。

那P物质到底是如何让肥大细胞变得更“激进”的呢?研究人员指出,P物质通过激活肥大细胞上的MrgprB2受体,与之前提到的FcεRI受体“联手”作用,共同促进免疫反应的升级。就像是两个强力的“队友”携手合作,不仅让肥大细胞释放更多的炎症因子,还促使更多免疫细胞加入战斗,造成皮肤的严重肿胀和溃烂。

至此,“痒-挠-炎”的恶性循环也就清晰了。首先,过敏原刺激肥大细胞释放痒感信号,接着MrgprA3神经元被激活,迫使我们不停地挠。与此同时,痛觉神经元在抓挠时释放P物质,这会进一步激活肥大细胞中的MrgprB2受体,并与之前释放组胺等的FcεRI受体“联手”,激发TNF的“暴走”。此时,中性粒细胞蜂拥而至,炎症加重,痒感随之升高——恶性循环就此完成。
痛并快乐着?
挠痒竟是“自残式防御”?
既然挠痒痒可能加剧皮肤炎症反应,那为何我们的身体还要“设定”这种行为?“痛并快乐着”的悖论该怎么解释?
研究人员发现,当小鼠感染了超级细菌金黄色葡萄球菌时,适度的挠痒痒可以显著减少皮肤上的细菌数量。其原理很简单却又非常硬核:挠痒痒激活的TNF吸引了大量中性粒细胞来“清理”细菌,而反复的抓挠虽然会破坏皮肤屏障,但却使得细菌无法在皮肤上扎根,导致某些微生物多样性下降。实验结果表明,感染的小鼠在挠痒后,细菌载量减少了约90%!

这也解释了为何一些出现皮肤炎症的患者挠痒会导致病情加重,但偶尔的“战略性挠痒”却有可能帮助预防细菌性皮肤感染。不过仍需注意的是,抓挠虽能短期抗感染,但长期可能破坏皮肤屏障,增加慢性炎症风险。
那么,能否破解这一“痒挠死局”呢?研究人员给出了两个突破口:

看来,挠痒痒这个日常生活中再普通不过的小动作,真是让人又爱又恨。这不仅仅是一种简单的“痒”和“挠”的关系,更是一种身体与外界互动的方式,而如果我们忍住一时的痒感,或许就能打破“痒-挠-炎”的恶性循环。
参考资料:
LiuAW,ZhangYR,ChenCS,EdwardsTN,OzyamanS,RamckeT,McKendrickLM,WeissES,GillisJE,LaughlinCR,RandhawaSK,PhelpsCM,KuriharaK,KangHM,NguyenSN,KimJ,SheahanTD,RossSE,MeiselM,SumpterTL,KaplanDH.Scratchingpromotesallergicinflammationandhostdefensevianeurogenicmastcellactivation.Science.2025Jan31;387(6733):eadn9390.doi:10.1126/science.adn9390.Epub2025Jan31.PMID:39883751.
撰文|木白